در نگاه اول، عکسهای دندان ممکن است پیچیده و نامفهوم به نظر برسند، اما با کمی آموزش و شناخت نکات کلیدی، شما هم میتوانید به راحتی اطلاعات مهم موجود در این تصاویر را درک کنید. در این مقاله، با زبانی ساده و قابل فهم، نحوه خواندن و تفسیر عکسهای دندانی را به شما آموزش میدهیم؛ از تشخیص پوسیدگیها و مشکلات لثه گرفته تا بررسی ساختار فک و دندانها، تا بتوانید بهتر با سلامت دهان و دندان خود آشنا شوید. با ما همراه باشید.

انواع عکس دندان که باید بشناسید
برای خواندن صحیح و دقیق تصاویر دندانی، نخست باید با انواع مختلف این عکسها آشنا شوید؛ زیرا هر نوع تصویر برای بررسی و تشخیص خاصی کاربرد دارد.
- عکس بیندندانی (برای تشخیص پوسیدگیهای مخفی)؛ این عکس مخصوص بررسی فواصل بین دندانهاست؛ نقاطی که با چشم غیرمسلح قابل مشاهده نیستند. در این تصاویر، پوسیدگیها به صورت لکههای تیره و غیرطبیعی بین دندانها نمایان میشوند.
- عکس ریشه دندان؛ این نوع تصویر به دندانپزشک کمک میکند تا وضعیت ریشه دندان، نوک آن و همچنین وجود هرگونه عفونت یا کیست را به دقت بررسی کند.
- عکس پانورامیک (کلی فک)؛ این عکس تصویری گسترده و جامع از کل دهان ارائه میدهد، شامل تمام دندانها، فک بالا و پایین، مفاصل فکی، سینوسها و دندانهای عقل. این تصویر نقش بسیار مهمی در برنامهریزی درمان ارتودنسی دارد.
- عکس نیمرخ صورت (برای ارتودنسی)؛ این عکس نمای جانبی صورت را نشان میدهد و به بررسی وضعیت قرارگیری فکها، زاویه استخوانها و همچنین موقعیت کلی دندانها کمک میکند.
شناخت این انواع عکسها به شما کمک میکند تا بهتر بتوانید تصاویر دندانی را درک کرده و در مراقبت از سلامت دهان و دندان خود بهتر تصمیمگیری کنید.
چگونه یک عکس دندان را تفسیر کنیم؟
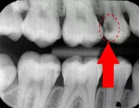
برای تفسیر عکس دندان، ابتدا به رنگها دقت کنید. بخشهای سفید روشن نشاندهندهٔ ساختارهای سخت مانند مینای دندان، پرکردگیهای فلزی یا استخوان فک هستند؛ در حالیکه نواحی خاکستری یا تیرهتر، بیانگر بافتهای نرمتر مانند عاج یا لثهاند. اگر قسمتهایی تاریک و نامنظم بین یا درون دندانها مشاهده شود، احتمالاً نشانهٔ پوسیدگی یا حفرههای دندانی است.
همچنین بررسی فاصله بین استخوان فک و دندان اهمیت دارد؛ افزایش این فاصله میتواند علامت تحلیل استخوان یا بیماری لثه باشد. پرکردگیها نیز با توجه به جنس آنها، بهصورت نواحی سفید براق مشخصاند. برای ارزیابی دقیق، توصیه میشود به متخصص ارتودنسی در تهران یا دندانپزشک مراجعه کنید.

کاربرد عکس دندان در ارتودنسی
از تصاویر دندانی در درمان ارتودنسی برای بهدست آوردن اطلاعات دقیق و جامع درباره وضعیت فک و دندانها استفاده میشود. یکی از مهمترین این تصاویر، عکس نیمرخ صورت است که نقش بسیار کلیدی در تشخیص و برنامهریزی درمان دارد. با بررسی این نوع عکسها، متخصص ارتودنسی میتواند بهراحتی موارد زیر را تشخیص دهد:
- جلو یا عقب بودن فک بالا یا پایین
- وجود دندانهایی که در مسیر درست رشد نکردهاند (مانند دندانهای عقل یا نیش)
- انحراف فک یا بههمریختگی کلی در ساختار دندانها
- زاویه رشد دندانها و نحوه قرارگیری آنها نسبت به یکدیگر
بررسی دقیق این تصاویر به متخصص کمک میکند تا دید کاملی از وضعیت دهان و دندان شما داشته باشد و بر اساس آن، طرح درمانی مناسبی طراحی کند؛ طرحی که متناسب با شرایط اختصاصی شما بوده و نتیجهای مؤثر و دقیقتر به همراه داشته باشد.

نشانههای یک عکس دندان طبیعی چیست؟
وقتی یک عکس دندان سالم را مشاهده میکنید، باید به چند نکته مهم دقت کنید تا سلامت ساختارهای دهان بهخوبی نمایان شود:
- ریشههای دندانها کاملاً سالم، بدون هیچ شکستگی یا ترک و دارای اندازه و شکل طبیعی باشند.
- استخوان اطراف ریشهها یکنواخت و منظم به نظر برسد و هیچ ناحیهٔ تیره یا غیرطبیعی که نشاندهندهٔ التهاب یا تحلیل استخوان باشد، دیده نشود.
- فاصلهٔ بین دندانها منظم و همسان باشد و هیچ لکه یا سایهٔ تیرهای که نشانهٔ پوسیدگی یا مشکلات دیگر باشد، در این فواصل دیده نشود.
- هیچ دندانی جابجا نشده، لق نشده یا در حال حرکت نباشد، بهطوریکه همهٔ دندانها در جای خود ثابت و پایدار قرار داشته باشند.
رعایت این نشانهها، نشاندهندهٔ یک تصویر رادیوگرافی سالم و وضعیت دهانی مطلوب است که سلامت کامل دندانها و ساختارهای اطراف را حکایت میکند.
نکاتی برای درک بهتر تصاویر دندان
برای درک بهتر تصاویر دندان، به نکات زیر توجه ویژه داشته باشید:
- تصویر را بهصورت منظم و دقیق از بالا به پایین یا از راست به چپ بررسی کنید تا هیچ جزئیاتی از دید شما پنهان نماند.
- به تقارن و هماهنگی بین سمت چپ و راست عکس دقت کنید؛ اختلافهای چشمگیر ممکن است علامت بروز مشکل باشند.
- ریشههای دندان باید صاف، کشیده و یکپارچه باشند و هیچگونه شکستگی، حفره یا ناهمواری در آنها مشاهده نشود.
- لکههای تیرهای که بین دندانها دیده میشوند، معمولاً نشانهٔ پوسیدگی یا مشکلات احتمالی هستند و باید با دقت بررسی شوند.
رعایت این نکات به شما کمک میکند تا تصاویر دندانی را بهتر تحلیل کرده و وضعیت سلامت دهان و دندان خود را دقیقتر درک کنید.
برای کسب اطلاعات بیشتر: طریقه خواندن عکس رادیولوژی دندان
ایمنی تصویربرداری از دندان
تصویربرداری با اشعه ایکس یکی از روشهای اصلی تشخیص در دندانپزشکی است که برخی بیماران ممکن است دربارهٔ ایمنی آن نگران باشند. اما جای نگرانی نیست؛ دوز اشعهای که در عکسبرداری دندان استفاده میشود بسیار کم و کنترلشده است. با پیشرفت دستگاههای دیجیتال، میزان اشعه دریافتی کاهش یافته و دندانپزشکان نیز از روپوشهای محافظ مانند روپوش سربی برای محافظت از بخشهای حساس بدن مثل غده تیروئید استفاده میکنند.
این تصاویر فقط در صورت نیاز واقعی گرفته میشوند و تمام استانداردهای ایمنی رعایت میشود. بنابراین، رادیوگرافی دندان یکی از ایمنترین روشهای تشخیصی است و به بیماران کمک میکند با اطمینان بیشتری از سلامت دهان و دندان خود مراقبت کنند.
چرا خواندن عکس دندان برای بیمار اهمیت دارد؟
خواندن عکس دندان برای بیمار اهمیت زیادی دارد، چون به شما کمک میکند تا وضعیت دقیق دندانها و دهان خود را بهتر درک کنید. وقتی خودتان از مشکل یا نیازهای درمانی آگاه باشید، میتوانید سوالات دقیقتر و مؤثرتری از دندانپزشک خود بپرسید و در تصمیمگیریهای درمانی، نقش فعالتری داشته باشید.
این آگاهی همچنین باعث میشود همکاری بیشتری در طول مراحل درمان داشته باشید و روند درمان با موفقیت بیشتری پیش برود. علاوه بر این، با شناخت بهتر مشکلات دهان و دندان، میتوانید از انجام اقدامات غیرضروری و صرف هزینههای اضافی جلوگیری کنید و سلامت دهان خود را به شکل مؤثرتری حفظ نمایید. در مجموع، آشنایی با نحوه خواندن عکس دندان، به شما قدرت و آگاهی بیشتری در مراقبت از سلامت دهان و دندانتان میدهد.


