به گزارش گروه علمی ایرنا، وبگاه سایتِکدِیلی در گزارشی آورده است:
تا حالا به این موضوع توجه کردهاید که بعضی افراد با افزایش سن، همچنان سرحال و فعال میمانند، در حالی که بعضی دیگر خیلی زودتر از آنچه انتظار میرود، کُند میشوند؟ پیری برای همه به یک شکل اتفاق نمیافتد.
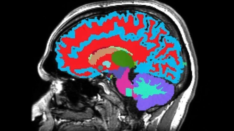
دانشمندانی از دانشگاه دوک و دانشگاه هاروارد در آمریکا و دانشگاه اوتاگو در نیوزیلند، ابزار جدید قدرتمندی ساختهاند که سرعت واقعی پیر شدن افراد را نشان میدهد و تنها چیزی که برای آن لازم است، یک تصویر لحظهای از مغز است.
این ابزار میتواند با یک اسکن اِمآرآی، خطر ابتلای افراد به بیماریهای مزمن را در مراحل بعدی زندگی آنها، مدتها قبل از بروز هر گونه علائم، تخمین بزند. این بینش اولیه میتواند به افراد کمک کند که در سبک زندگی و رژیم غذایی خود تغییراتی ایجاد کنند تا برای مدتی طولانیتر سالم بمانند.
این اسکن حتی میتواند احتمال ابتلای افراد مسن به زوال عقل و سایر بیماریهای مرتبط با افزایش سن را پیشبینی کند؛ هر قدر این خطرات زودتر شناسایی شوند، احتمال کاهش سرعت پیشرفت آنها بیشتر میشود و بهتر میتوان آنها را مدیریت کرد.
احمد حریری، استاد روانشناسی و علوم اعصاب در دانشگاه دوک در آمریکا گفت: نکته واقعاً جالب درخصوص این موضوع این است که ما با استفاده از دادههای جمعآوریشده در میانسالی افراد، سرعت پیر شدن آنها را ثبت میکنیم و این به ما کمک میکند تا احتمال ابتلای افراد سالمند به زوال عقل را پیشبینی کنیم.
حریری اظهار کرد: یافتن راههایی برای کاهش سرعت زوال عقل مرتبط با سن، به افراد کمک میکند سالمتر و طولانیتر زندگی کنند؛ اما ابتدا باید بفهمیم چگونه میتوانیم پیری را به روشی دقیق رصد کنیم.
وی افزود: الگوریتمهای متعددی برای اندازهگیری میزان پیری افراد طراحی شده است؛ اما بیشتر این «ساعتهای پیری» به دادههای جمعآوریشده از افراد در سنین مختلف در یک نقطه زمانی واحد متکی هستند و وضعیت همان افراد را در طول عمرشان دنبال نمیکنند.
یافتههای این پژوهش به صورت مقالهای در مجله نِیچِر اِیجینگ (Nature Aging) منتشر شده است.



