
چهار علامت «سالمندی زودرس»/ فراموشیهای کوچک را جدی بگیرید
رئیس انجمن علمی سالمندی ایران درباره علائم «سالمندی زودرس» هشدار داد و گفت: بدن و مغز هیچکدام یکباره پیر نمیشوند؛ روند پیری آرام، تدریجی و خاموش آغاز میشود و اگر نشانههای اولیه نادیده گرفته شود، شیب سالمندی زودرس شدت میگیرد.

جمعیت نیروی کار کدام کشورها بیشتر از بازنشستگان است؟
جهان به سرعت در حال پیر شدن است و در بسیاری از اقتصادهای توسعه یافته، تعداد بازنشستگان در حال افزایش و جمعیت در سن کار، رو به کاهش است و این امر، بازارهای کار، هزینههای عمومی و چشمانداز رشد بلندمدت را دستخوش تغییر میکند.

کشف رابطه خواب با پیری زودرس مغز
یک مطالعه جدید میگوید بدخوابی ممکن است روند پیری مغز فرد را تسریع کند، که بخشی از آن با افزایش التهاب همراه است.

تمرینات ذهنی میتوانند پیری مغز را تا ۱۰ سال معکوس کنند
دانشمندان شواهد جدیدی در انسان پیدا کردهاند که نشان میدهد تمرینات شناختی (ذهنی) میتواند سطح یک ماده شیمیایی خاصی در مغز را که بهطور معمول با افزایش سن کاهش مییابد، افزایش دهد. محققان میگویند این تمرینات میتوانند مغز را تا ۱۰ سال جوانتر کنند.

در این سن بدن شما ناگهان پیر میشود
دانشمندان «سن دقیق پیر شدن» را کشف کردند.

دور زدن قانون توسط وزارت بهداشت؟!
گروه اجتماعی الف،وزارت بهداشت با کاهش غیرقانونی ظرفیت پذیرش پزشکی و دندانپزشکی، برخلاف مصوبه شورای عالی انقلاب فرهنگی، سالانه ۴۰۰۰ دانشآموز ایرانی را از تحصیل محروم کرده است. این تخلف با احتساب دانشجویان خارجی در ظرفیت داخلی، نه تنها حق تحصیل ۱۶۰۰۰ نفر را در چهار سال تضییع میکند، بلکه کمبود پزشک را تشدید و نظام سلامت را در برابر موج سالمندی شکنندهتر میسازد.

مطالعه هاروارد نشان میدهد که این رژیم غذایی خاص میتواند پیری مغز را کندتر کند
رژیم غذایی سبز یا همان رژیم مدیترانهای ممکن است با کاهش نشانگرهای پروتئینی مرتبط با زوال شناختی، از پیری مغز جلوگیری کند.

یافته جدید دانشمندان: این غذاها میتوانند به مبارزه با پیری مغز کمک کنند
یک مطالعه جدید نشان میدهد که قارچ، لبنیات و آجیل ممکن است به محافظت از سلامت مغز کمک کنند. محققان ۱۳ گروه از غذاها و جنبههای مختلف سلامت شناختی را بررسی کردند. به نظر میرسد قارچها بیشترین تأثیر را دارند و به راحتی میتوان آنها را به وعدههای غذایی اضافه کرد.

۱۲ درصد جمعیت ایران سالمند هستند
رئیس سازمان بهزیستی کشور گفت: ایران یکی از پرسرعتترین کشورها در مسیر سالمندی است و هم اینک ۱۲ درصد جمعیت کشور سالمند هستند.

کمتحرکی از دلایل کاهش توده عضلانی در سالمندان / نقش تمرینات بدنی در پیشگیری از عوارض سالمندی
یک دکترای تخصصی سالمندشناسی با بیان اینکه سالم پیر شدن یک موفقیت است، گفت: تمرینات بدنی مناسب میتواند روند بروز بسیاری از عوارض سالمندی را آهسته تر کند.

چه کنیم که دوران سالمندی حسرت به دل نمانیم؟!
با رسیدن به دوران پختگی، کمابیش همه ما حسرتهایی را تجربه میکنیم. این حسرتها کدامند و از آن مهمتر، چگونه میتوانیم از تجربه آنها در آینده اجتناب کنیم؟ این مقاله به بررسی رایجترین پشیمانیهای افراد مسن میپردازد و راهکارهایی برای ساختن فردایی بدون حسرت ارائه میدهد.

چرا پوست ما با افزایش سن چروک میشود؟
چروکهای کنار چشم که به «خطوط خنده» معروفاند، رازهایی فراتر از نشانههای پیری دارند. فهم این فرآیند، راه را برای مراقبت بهتر از پوست هموار میکند.

«قرص ورزش» ساخته میشود!
دانشمندان یک گام به ساخت آنچه مزایای ورزش را تقلید میکند، نزدیکتر شدهاند، چرا که یک ترکیب طبیعی جدید، مزایای ضد پیری ورزش را شبیهسازی میکند و دیگر نیازی به باشگاه رفتن نیست.

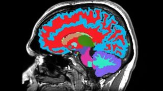
اسکن مغز، سرعت واقعی پیر شدن شما را فاش میکند
پژوهشی تازه نشان میدهد که تصاویر معمولی از مغز میتوانند نشانههایی از سرعت پیری زیستی در خود داشته باشند؛ از جمله خطر ابتلا به زوال عقل، بیماریهای مزمن و حتی مرگ. این کشف گامی مهم در مسیر ساخت «ساعت زیستی مغز» است؛ ابزاری نو برای درک روند پیری انسان که فراتر از سن تقویمی است.

ساخت ابزار اندازهگیری سرعت پیری و پیشبینی زوال عقل
دانشمندان ابزاری ساختند که سرعت واقعی پیر شدن افراد را نشان میدهد و در نتیجه احتمال ابتلای آنها به زوال عقل را چند دهه پیش از بروز علائم بیماری، پیشبینی میکند.

این عادات ساده زود پیرتان می کند؛ از نوشیدن با نِی تا روبالشی نامرغوب
مراقبت از پوست و تغذیه تنها بخشی از ماجراست. برای جوان ماندن باید فراتر از ظاهر را دید. بسیاری از عادتها، رفتارها و حتی طرز فکر ما بیسروصدا سرعت پیری را بیشتر میکنند.

نجات از پیری زودرس با مصرف این ویتامینها
مصرف برخی ویتامین ها هستند که سبب جلوگیری از پیری زودرس میشوند.

پیری بدن از چه سنی شروع میشود؟ / چطور آن را به تأخیر بیندازیم؟
پژوهشها نشان دادهاند که حدود ۲۰ تا ۳۰ درصد سلامت و دور ماندن از پیری تحت تأثیر ژنتیک است و باقی آن به سبک زندگی بستگی دارد.

آزمایش موفق داروی ضد پیری روی موشها
دانشمندان طی مطالعهای جدید موفق به تولید ترکیب دارویی شدند که طول عمر موشها را حدود ۳۰ درصد افزایش داد.

داروی دیابتی که طول عمر را افزایش میدهد
مطالعات جدید این گمان را که داروی «متفورمین» - داروی درمان دیابت نوع ۲- خواص ضدپیری دارد را به یقین تبدیل کرد.

کند شدن روند پیری با مصرف روزانه امگا ۳
مصرف روزانه اسیدهای چرب امگا۳ میتواند روند پیری زیستی بدن را سالانه حدود یک ماه کاهش دهد. این نتیجه از مطالعه بینالمللی DO-HEALTH به دست آمده که نقش امگا۳، ویتامین D و ورزش در پیری سالم را بررسی کرده است.

هراسی مدرن در قرن ۲۱/ کاهش ۷ تا ۸ ساله عمر به دلیل «ترس از پیری عمر»
رئیس انجمن علمی طب سالمندی ایران با اشاره به پدیده «گراسکوفوبیا» یا ترس از پیری گفت: بر اساس گزارش سازمان بهداشت جهانی، افرادی که نگرش منفی به سالمندی دارند، زودتر دچار ناتوانی میشوند و بهطور متوسط ۷ تا ۸ سال کمتر از افرادی با نگرش مثبت به پیری، عمر میکنند.

مغز از یک سنی به بعد ناگهان پیر میشود؛ آغاز روند پیری زودتر از چیزی است که فکرش را میکنید
بر اساس نتایج یک تحقیق جدید، مغز انسان بهطور تدریجی و خطی پیر نمیشود، بلکه در دورههای مختلف به طور ناگهانی پیری را تجربه میکند. محققان معتقدند که نخستین دوره پیری مغز، حدود ۴۴ سالگی رخ میدهد.

کلید کاهش سرعت پیری عضلات پیدا شد
ایسنا نوشت: جمعی از دانشمندان چینی چگونگی تاثیر پیری بر عضلات را کشف و راهی برای آهسته کردن این روند پیدا کردند.

مغز شما از چه سنی شروع به تحلیل رفتن می کند؟
فراموشیهای گاهبهگاه در میانسالی بخشی طبیعی از روند پیری است. بر اساس یک پژوهش جدید در آمریکا، افت عملکرد شناختی در سن مشخصی بیشتر از همیشه قابل مشاهده است.

آسپیرین رشد سرطان را مهار میکند
آسپیرین تا به امروز به عنوان رقیق کننده خون و پیشگیری کننده از سکته قلبی شناخته میشد. اما نتایج ایک مطالعه جدید نشان میدهد که آسپیرین میتواند فواید دیگری به ویژه در زمینه درمان و مهار سرطان نیز داشته باشد.

مکملهایی که روند پیری را کند میکنند
محققان دانشگاه زوریخ در یک مطالعه گسترده دریافتند که مصرف اسیدهای چرب امگا-۳ و ویتامین D در کنار تمرینات قدرتی، روند پیری زیستی را در افراد مسن کاهش میدهد.

کدام موادغذایی در کاهش روند پیری موثرند؟
برخی غذاها به کاهش اثرات پیری در هر قسمت از بدن شما، از پوست گرفته تا مغز، قلب و مفاصل کمک میکنند.

۲۸ ماده غذایی ضدپیری که شما را سالم و جوان نگه میدارند!
پیری، یک رویداد اجتنابناپذیر است اما از سنین کم میتوان اقداماتی را انجام داد تا فرایند پیری را کندتر کرد. یکی از این اقدامات مصرف مواد خوراکی حاوی ترکیبات ضدپیری است که موجب افزایش مدت جوانی و تاخیر در فرایند پیری میشوند.

ایران به پیرترین کشور جهان تبدیل میشود!
رئیس سازمان بهزیستی گفت: در سال ۱۴۳۰ بالای ۳۰ درصد جمعیت کشور بالای ۶۰ سال دارند یعنی جامعه در آن زمان شدیداً سالخورده است و احتمالاً در آن سال ما سالخوردهترین کشور جهان خواهیم بود.

سال ۱۴۳۰ بیش از ۳۳ درصد جمعیت کشور سالمند خواهند بود
رئیس سازمان بهزیستی کشور گفت: در شرایطی که جمعیت بالای ۲۸ درصد سالمند شدیداً سالخورده تلقی میشود، پیشبینی داریم که در سال ۱۴۳۰ بیش از ۳۳ درصد جمعیت کشور سالمند و بسیار سالمند خواهند بود.

غذاهایی که مخفیانه پیرتان میکنند
به گفته کارشناسان غذاهایی که سرشار از مواد التهابی هستند میتوانند با تولید رادیکالهای آزاد منجر به پدیدهای به نام استرس اکسیداتیو شوند که عامل اصلی پیری زودرس است

میانگین سن ایرانیها از ۲۲ سال به ۳۲ سال رسید / آینده جمعیت کشور در خطر است
دبیر ستاد ملی جمعیت کشور با بیان اینکه متوسط سن جامعه ما از ۲۲ سال به ۳۲ سال افزایش یافته است و این نشاندهنده سرعت بالای روند سالمندی است، گفت: تا سال ۱۴۳۰ جمعیت سالمندان ۳ برابر میشود!
