
وضعیتی که سلامت کودکان را تهدید میکند حتی بهقیمت جان
نرخهای چاقی کودکان در سالهای اخیر در برخی کشورها ثابت مانده، اما مقامهای جهانی بهداشت میگویند این نرخها هنوز هم بیش از حد بالاست.

تغذیه، واکسیناسیون و غربالگری؛ سه رکن اساسی سلامت کودکان
فوقتخصص گوارش کودکان گفت: آینده کشور به سلامت و شادابی کودکان وابسته است و توجه به تغذیه و سلامت آنها وظیفه خانواده و جامعه است.

پژوهشگران: مواد پلاستیکی میتواند آثار منفی بر رشد مغز کودکان داشته باشد
متخصصان هشدار دادهاند که قرار گرفتن در معرض مواد شیمیایی بهکاررفته در ساخت وسایل پلاستیکی در دوران کودکی، خطراتی برای سلامت ایجاد میکند که میتواند تا بزرگسالی ادامه یابد.

خطر پنهان متا برای کودکان؛ سناتورها خواستار شفافیت شدند
ده سناتور آمریکایی در اقدامی کمسابقه از شرکت متا خواستند اسناد داخلی درباره امنیت کودکان و کارایی کنترلهای والدین را منتشر کند.

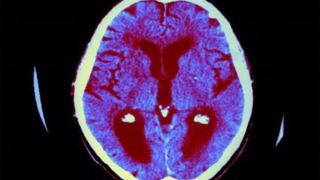
فراموشی زودهنگام در کودکان؛ پای سرب در میان است
بر اساس یک مطالعه جدید، قرار گرفتن در معرض سرب در دوران بارداری و اوایل کودکی ممکن است سرعت فراموشی اطلاعات در کودکان را افزایش دهد و به طور بالقوه یادگیری و رشد شناختی را مختل کند.

چگونه با کودکان در مورد جنگ صحبت کنیم؟ با دانستن این موارد سلامت روان او را تضمین کنید
صرف نظر از اینکه فرزند شما چه سنی دارد، اگر قادر به تکلم است میتوانید با او در مورد جنگ صحبت کنید.

کودکان را در معرض اخبار «ناگوار» قرار ندهید
یک روانپزشک با بیان اینکه باید برای احساسات کودکان اعتبار قائل شد، گفت: کودکان را در معرض اخبار بد و ناگوار قرار ندهید.

توصیههای تغذیهای برای کودکان کم وزن و کوتاه قد
ایسنا نوشت: در میان عوامل موثر بر رشد کودک میتوان به وضعیت ژنتیک، وضعیت تغذیه کودک یا وجود بیماری مزمن اشاره کرد. در این مجال مطلبی به نقل از فاطمه ایزدی، کارشناس تغذیه شبکه بهداشت و درمان شهرستان خرامه درباره توصیههای تغذیهای برای کودکان کم وزن و کوتاه قد را میخوانیم.

توصیهها برای نجات کودکانی که باتری دکمهای بلعیدهاند!
باتریهای دکمهای کوچکی که در بسیاری از لوازم خانگی استفاده میشوند، منبع خطر بزرگی برای کودکان هستند. کودکان ممکن است به خاطر اندازه کوچک و شکل جذابشان آنها را ببلعند. این امر ممکن است عواقب جدی داشته باشد و در برخی موارد به مرگ آنها منجر شود.
